
In a recent poster presentation at the Radiological Society of North America (RSNA) conference, researchers shared preliminary findings from a prospective trial that compared the use of ultra-low-dose computed tomography (ULDCT) to low-dose CT (LDCT) in current smokers and those with a previous smoking history.
For the study, researchers examined the use of LDCT dosing (mean effective radiation dose of 1.40 mSv) versus ULDCT dosing (mean effective radiation dose of 0.39 mSv) in consecutive patients referred for lung cancer screening over a one-month period. The study cohort included current and previous smokers with a 20 pack-year history, according to the study. The researchers noted that 58 of the 265 enrolled patients had abnormal CT scans. The CT scans were reviewed by two senior thoracic radiologists.
The study authors found a 92 percent agreement between ULDCT and LDCT for emphysema and a 91 percent agreement for pulmonary nodules. Agreement for findings such as bronchial wall thickening, atelectasis and bronchiectasis ranged between 80 to 90 percent, according to the study.
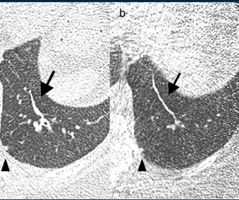
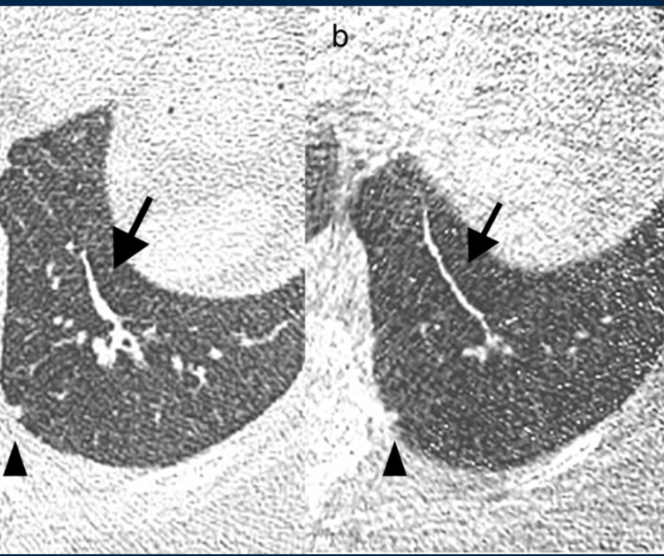
However, the researchers noted that agreement between ULDCT and LDCT ranged between 60 to 80 percent for septal thickening, pleural effusion, and consolidation. They also noted poor agreement (37 percent) for ground glass opacification (GGO) lesions.
While the researchers noted the use of ULDCT could reduce effective radiation dosing to a third of that used for LDCT, they said the significant potential for missing other lung cancers such as lepidic adenocarcinoma outweigh the benefits of reduced radiation dosing.
“Despite the exciting agreement for some pulmonary findings, these results question whether using an ULDCT protocol for (lung cancer screening) would be adequate as many subsolid or GGO lesions could be missed,” wrote Matheus Zanon, MD, MSc, who is affiliated with the Department of Radiology at Pontificia Universidade Catolica do Rio Grande do Sul in Porto Alegre, Brazil, and colleagues.
"low" - Google News
November 30, 2022 at 03:46AM
https://ift.tt/fYwsjFb
Can Ultra-Low-Dose CT be Effective for Lung Cancer Screening in Current or Past Smokers? - Diagnostic Imaging
"low" - Google News
https://ift.tt/QUG6uiS
Bagikan Berita Ini
0 Response to "Can Ultra-Low-Dose CT be Effective for Lung Cancer Screening in Current or Past Smokers? - Diagnostic Imaging"
Post a Comment